TwinTree Insert

14-02-01 Conventional Spin-Echo Pulse Sequences


n spin-echo images, fast-flowing blood ap­­pears dark, slowly moving blood ap­pears relatively bright. Slow-flowing cere­brospinal fluid appears dark on T1-weight­ed images and bright on T2-weight­ed images because (at 1.5 T) the T1 re­­la­­xa­­tion time of blood is approximately 1200 ms, while that of CSF is 3000 ms; the T2 re­la­xa­tion times are 150 ms and 500-3000 ms, respectively.

Relatively fast-moving CSF, however, behaves like blood. Figure 14-03 shows an ex­amp­le of fast-flowing CSF and its influ­ence upon contrast in a T2-weighted image. Fast-flowing blood appears dark in interme­diately, T1- and T2-weighted spin-echo im­a­ges (Figure 14-04).

This can be very help­ful for the differential dia­gno­sis of aneurysms, angiomas, vas­cu­lar mal­for­ma­­tions or similar diseases (Figure 14-05). Bright signal intensity where flow voids are to be expected, sup­ports the diagnosis of slow flow or throm­bo­sis.


Figura 14-03:
Patient with hydrocephalus. On this T2-weighted SE image, CSF should be bright. How­ever, due to flow ef­fects, CSF in the aqueduct and the upper fourth ventricle appears dark.


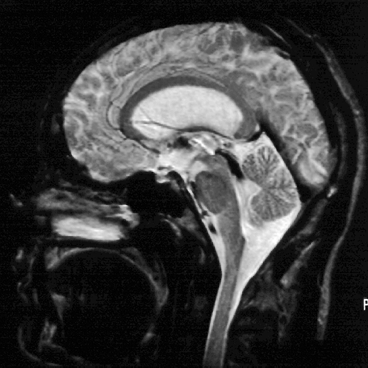
Figura 14-04:
Midsagittal slice through a normal brain. SE pulse se­quence, from (a) T1-weighted through (b) and (c) in­ter­me­di­a­te­ly weighted to (d) T2-weighted.
The fluid signal of CSF changes ac­cor­ding­ly, and the flowing blood in the straight si­nus stays black.


Figura 14-05:
Intermediately weighted SE image of an infant’s ab­domen (disturbed by motion artifacts). The dark areas in the front are air-filled bowel loops. The dark structures in front of the spine represent rapidly mov­ing blood in a porto-caval shunt.


spaceholder redFigure 14-06 explains this phenomenon for blood. In spin-echo sequences, the time-of-flight (TOF) effect of inflowing blood is the main cause responsible for chan­ges of the signal intensity behavior. This effect origi­nates from the movement of the blood dur­ing the time between the application of the excitation and the re­fo­cus­ing RF pulses.


Figura 14-06:
Basic effects of time-of-flight flow phenomena upon signal intensities in spin-echo images. The same imag­­ing plane is first exposed to a 90°, then to a 180° pulse. If there is no flow, a bright signal will be vi­sib­le. Slow flow creates a signal intensity at the bright end of the gray scale, where­as fast flow leads to low signal or no signal at all (signal void). Now all excited spins have left the imag­ing plane by the time the refocusing 180° pulse is applied. SI = signal intensity; v = velocity.


Blood can move so fast (Table 14-01), that it is not subject to both the 90° and 180° pulses of an SE experiment, but only to one of them. Whichever pulse it is, no signal will be received from the moving blood; there will be a signal void. Tur­bu­lent flow con­tri­bu­tes to this effect.


Tabla 14-01:
Range of values of blood velocities in the human body. a = artery, v = vein.


A detailed description is given in the section about time-of-flight angiography.


14-02-02 Gradient Echo Pulse Sequences


Slice thickness and profile, T1 (and thus field strength), the repetition and echo times, and other intrinsic and extrinsic fac­tors add to the extreme com­ple­xi­ty of flow signals in MR images. Blood velocity is not the only factor in­fluencing signal in­ten­si­ty.

In two-dimensional rapid imaging se­quences using gradient echoes, the signal-in­ten­si­ty behavior is more straightforward than in SE images.

Here, stationary material experiences the effect of all applied RF pulses, resulting in a signal which is only a small percentage of the equilibrium signal.

In the presence of flow, the spins in the slice are replaced by spins which have not ex­pe­ri­en­ced any of the preceding RF pulses and therefore give a much greater sig­nal, providing that the flow is not turbulent.

Two components contribute to the flow sig­nal of a GRE sequence (Figure 14-07): Those spins which have entered the slice before the current excitation pulse and those excited by the pre­ceding pulse that remained in the slice. The fresh spins tra­vel­ing fastest carry full mag­netization and contribute most to the signal; the par­ti­al­ly sa­tu­ra­ted spins traveling slower con­tri­bu­te less. With increasing blood velocity, sig­nal intensity increases until it reaches a steady state (Figure 14-08).


Figura 14-07:
Contributions to the flow sig­nal of a gradient-echo sequence. SI = signal intensity (%).


Figura 14-08:
Conceptualized flow signal intensity patterns of a GRE sequence in the steady state. The sig­nal in­ten­si­ty is dependent on ve­lo­ci­ty: the faster the flow, the brighter the sig­nal. SI = signal intensity; v = velocity.