TwinTree Insert

14-06 Cardiac MR Imaging


ne of the biggest challenges for MR imag­ing is the heart [⇒ Lanzer 1985] It not only contracts, it also moves due to respiration; it contains flowing blood, and its axes are not orthogo­nal to the rest of the body (Fi­gu­re 14-23).

The latter point is not a restriction in MR imaging because it is basically a three-di­men­si­o­nal technique; the former points limited cardiac MR imaging strongly, be­­cause it used to be a slow modality and the time resolution required for cardiac imag­­ing is less than 50 ms. Thus, cardiac imag­ing needs syn­chro­ni­za­tion of data ac­qui­­si­tion and the different kinds of motion of the heart, otherwise images are de­grad­ed.

spaceholder redAn in-depth overview of MR imaging of the heart and vessels was published by Lombardi and collaborators [⇒ Lombardi 2018].


Figura 14-23:
(a) Anatomic sketch of the human heart with depic­tion of the long axis (blue) and the short axis (green).
(b)) Heart morphology: Transverse cut through the heart at the level of the aortic valve (black blood im­ages).


14-06-01 Synchronization


Three types of synchronization are possi­ble:

spaceholder darkblueGating;
spaceholder darkbluetriggering;
spaceholder darkblueslice following.


spaceholder redGating means opening a gate or a time window during which the data ac­­qui­­si­­tion can run freely. The ac­qui­si­tion is stopped when the gate is closed, and con­­ti­nu­ed as the gate opens again. The time window dur­ing which the gate is open is not ne­ces­sa­ri­ly the same from gate to gate.

Opening and closing of the gate is con­trol­led by a physio­logical monitor, such as a chest elevation monitor for respiratory gating.


spaceholder redTriggering means receiving a signal that starts one or several pulses. The num­­ber of pul­ses is the same every time. For good timing, the trigger pulse should stem from an easily definable and exact physiological incident, like the peak of the R-wave in the QRS-complex of an electrocardiogram. Distortions of the detected QRS-com­plex are readily introduced by gradient pulsing or by material in ECG elec­tro­des. Some problems cannot usually be avoided, such as the elevation of the T-wave due to the flow of blood through a magnetic field (see Chapter 18).

This effect increases with field strength and with dobu­tamine stimulation of the heart in stress ex­aminations.

Since the ele­va­tion of the T-wave can give falsely detected R-waves, the trig­ger­ing parameter should be set well ahead of the QRS-complex. There are some ad­van­ced ECG sys­tems that use an out-of-magnet recorded vector ECG as a mask to get an un­dis­tur­bed ECG inside the magnet during imaging.


spaceholder redSlice following is a technique where both the movement of the diaphragm du­r­ing re­s­pi­ra­tion and the heart during contraction is monitored by the system. Through checking the positions of anatomical landmarks im­mediately before and after the acquisition of an imaging profile, the displacement of the acquired profile can be checked (and discarded if outside given borders) and the dis­place­ment of the following profile can be predicted. Slice following is often used in com­bi­na­tion with triggering to achieve better temporal resolution.

Measurement of myocardial wall motion is possible by myocardial tagging. Tagging en­tails labeling a strip in the myocardium by magnetic sa­tu­ra­tion. The spins of the dark mesh in Figure 14-24 were selectively excited; they re­tain a state of excitation dif­­fe­rent from their neigh­bors for the duration of T1 and wall motion can be fol­low­ed [⇒ Zerhouni 1988].


Figura 14-24:
Heart examination with spin tagging.

Figura 14-24-Video:
Heart examination with spin tagging. Myocardial wall motion can be followed because the spins of the dark mesh were selectively excited. They re­tain a state of excitation different from their neigh­bors for the duration of T1.


14-06-02 Static Studies


For the depiction of cardiac and great vessel morphology, static studies in se­­ve­­ral pha­ses of the heart cycle can be performed, usually as RSE or GRE studies, pri­ma­ri­ly as black blood images. They should be performed as a multi-slice, multi-phase, double-oblique angulated acquisition, where special attention must be paid to the patient’s heart frequency.

Care should be taken about the chosen imag­ing planes; four-chamber views are ge­ne­ral­ly coronal, but long-axis views can be either sagittal or transverse, whereas short-axis views can be either trans­ver­se or sagittal.


14-06-03 Flow Studies


Bulk flow either from shunts across the septum, regurgitant jets through valves clos­ing in­suf­fi­ci­ent­ly, or just through lumina and vessels can be visualized by gra­dient-echo techniques.

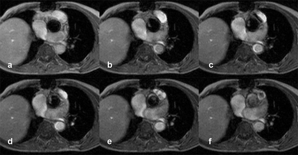
These studies must have reasonable temporal resolution to describe the dif­fe­rent pha­ses of the heart cycle, typically 16 or more, depending on the clinical question (Figure 14-25). The results will yield an image with muscular tissue in gray, static li­quid in white and high-velocity jets in black (signal void). Con­se­quent­ly, both or­di­na­ry flow and regurgitant jets are seen, but cannot be quan­ti­fied immediately. One quan­ti­fi­ca­tion method being employed is to measure the area (or volume) of the re­gur­gi­tant jet (signal void) and compare it to the area (or volume) of the chamber.


Figura 14-25:
Patient with several transient ischemic at­tacks. Gradient-echo images four mil­li­me­ters above the aor­tic valve during different phases of the cardiac cycle show a pen­du­lat­ing thrombus.

Figure 14-25-Video:
Patient with several transient ischemic at­tacks — movie.



Another technique tracks the signal intensity of the blood in the chamber du­ring the car­diac cycle. The total signal intensity increases in normal patients du­ring systole, but decreases markedly in patients with regurgitation. The per­cen­tage of decrease is found to be dependent on the severity of the regurgitation.

An­gio­gra­phic techniques such as flow quantification can also be utilized and then net flow through an orifice can be accurately quantified.


14-06-04 Clinical Applications


To date, combinations of RSE/GRE (CE-FLASH) pulse sequences have been found to be the most efficient method to image the heart by magnetic resonance. The goal of such an examination is to combine the evaluation of mor­pho­lo­gy with functional fea­tu­res. In clinical routine, imaging time should not ex­ceed thirty minutes; image pro­ces­sing, and particularly interpretation, will take longer. Great care has to be put into planning and optimizing a heart exa­mi­na­tion, and certain trade-offs should be realized.

1.5T systems are the preferred equipment for cardiac imaging. ultrahigh machines (3 T and above) are prone to destructive artifacts and are limited in their ap­pli­ca­tions because of specific absorption rate (SAR) restrictions. They might be used for first pass contrast-enhanced perfusion imaging, tagging sequences, and dynamic 3D flow imaging.


spaceholder redIn rapid spin-echo images, regional abnormal wall motion or abnormal wall thick­­ness is seen, as well as pericardial disturbances. Fatty deposits in the myo­car­dium of the right ventricle and intra- or extracardiac tumors, together with crypts and ducts, are also generally found with ease.

Gradient-echo images tend to give somewhat poorer edge description of the en­do­car­dium, but a good overview of different hypertrophies. Specially designed gra­dient-echo sequences like True FISP and Balanced FFE do, however, give ex­cel­lent blood-tissue contrast.

Furthermore, both restricted and dilated cavities, insufficient valves and tracts are easily seen. The general flow pattern and the to­tal overview of the heart add to the general understanding of cardiac per­for­man­ce.


spaceholder redA good and detailed textbook was published by Manning and Pennell in 2010 [⇒ Manning 2010]; helpful clinical guidelines are given by a team of several cardiac imag­ing societies [⇒ Kramer 2013].


14-06-05 Advanced Techniques


Both first-pass contrast uptake and late-enhancement imaging are gaining ground in car­diac diagnostic imaging. These kinds of contrast studies are used to evaluate car­diac perfusion and perfusion reserve and to qualify the possible via­bi­li­ty of cardiac tissue. Coronary artery imaging is also progressing using mul­ti­ple different 2D- and 3D-imaging sequences (RSE, rapid GRE, SE-EPI, rapid GRE-EPI).

The resolution reached has been good enough to persistently describe 7-10 cm of the main coronary arteries (RAD, LAD, and circumflex), but not the col­la­te­rals. This re­so­lu­tion is sufficient to evaluate the patency of grafts and MR coronary artery imag­ing can be used in patients with severe ana­phy­lac­tic reactions to contrast media, but it is still not a sufficiently robust screen­ing tool (Figure 14-26).


spaceholder redCardiac MR imaging is considered the method-of-choice for examinations of con­­ge­ni­tal heart di­sease, acquired diseases of the great vessels and tumors in­fil­trat­ing or close to the heart and valuable in a number of other clinical areas such as car­dio­my­o­pa­thies, pericardial diseases and post-transplantation exa­mi­na­tions.


Figura 14-26:
Depiction of the coronary arteries without contrast agent application by spiral 3D ra­pid gradient-echo using navigator tech­ni­ques and diastolic gating.